乳酸菌作为公认安全的食品级微生物,发酵过程中能够产生乳酸、γ-氨基丁酸(GABA)、细菌素和胞外多糖等多种次级代谢产物,其中GABA是中枢神经系统中一种主要的神经抑制性递质,可通过谷氨酸脱羧酶催化L-谷氨酸脱羧而产生。目前,已有研究表明GABA以及产GABA的乳酸菌对于缓解糖尿病小鼠的高血糖症状具有明显功效。
我院食品营养与功能因子团队陆颖健课题组以Streptococcus thermophilus fmb-5发酵的富含GABA的酸奶为材料,解析了GABA酸奶缓解2型糖尿病小鼠胰岛素抵抗的作用方式。相关结论以《Effect of γ-aminobutyric acid-rich yogurt on insulin sensitivity in a mouse model of type 2 diabetes mellitus》为题发表在Journal of Dairy Science杂志上。我院李向菲老师和南京农业大学学生林晨为共同第一作者,通讯作者为我院陆颖健教授和南京农业大学陆兆新教授。
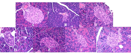
本研究将发酵好的酸奶按照不同剂量对2型糖尿病小鼠进行饮食干预,研究发现不同剂量的GABA酸奶在不同程度改善糖尿病相关指标,如增加血清胰岛素和脂肪指数、降低血液中尿素氮水平、减少葡萄糖曲线下面积和胰岛素敏感性指数等;其中,高剂量的GABA酸奶在改善胰岛素敏感性方面优于低剂量组,主要体现在HOMA-β、总胆固醇、高密度脂蛋白、脂肪指数和胰岛细胞形态等方面。这一工作为揭示富含GABA发酵食品的营养价值和新型功能性食品的开发利用提供了理论借鉴

图1 不同剂量GABA酸奶对胰岛素敏感性指标的影响 (A)胰岛素敏感性指标(ISI);(B)胰岛素抵抗指数(HOMA-IR);(C)胰岛β细胞功能指数(HOMA-β)

图2 不同剂量GABA酸奶对胰腺形态的影响
原文链接:https://doi.org/10.3168/jds.2019-17757